Matias San Martin Matias San Martin Matias San Martin Matias San Martin
  • Home
  • Sobre Mi
    • Matías San Martín H.
    • Displasia Ectodermica
    • Publicaciones
    • Prensa
    • Clínica Dental Sonríe
  • Pacientes
    • Procedimientos
    • Casos Clinicos
    • Información Pacientes
    • Testimonios
  • Academia
  • Blog
  • Contacto
    • Reserva Hora Whatsapp
    • Enviar mensaje

BLOG

Cirugía de Implantes, Lo que debes saber

By ragnar | Comments are Closed
Hoy en día tener una sonrisa hermosa es sinónimo de éxito, en la actualidad todos quieren tener una sonrisa perfecta, sin embargo muchas veces esto se ve dificultado por la pérdida de dientes, ya sea
Read more

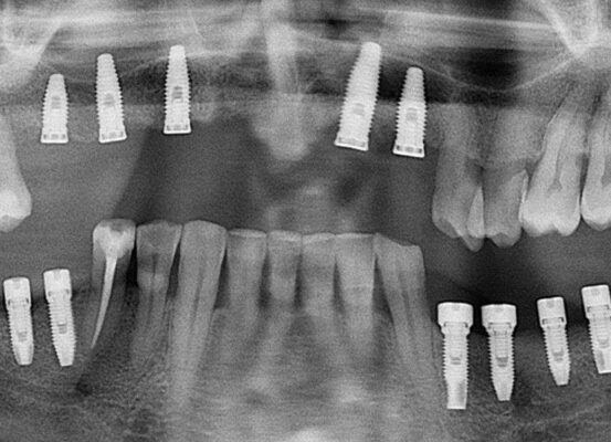
Impacto de los implantes dentales en las personas

By ragnar | Comments are Closed
La implantología oral es una especialidad que nace frente a la necesidad de poder devolver dientes fijos, que es el tratamiento ideal frente a la pérdida dentaria. Pese a que un diente representa un p
Read more

Paciente de 90 años operado para instalación de 2 implantes en el sector anterior con injerto óseo.

By ragnar | Comments are Closed
Les comparto el caso de un paciente de 90 años operado para instalación de 2 implantes en el sector anterior con injerto óseo.Con esto me gustaría reforzar 3 cosas.1- No hay edad para sonreír.2- Un pa
Read more

Paciente mujer de 14 años

By ragnar | Comments are Closed
Paciente mujer de 14 años.Derivada de ortodoncia para extracción de un molar temporal retenido y del segundo premolar incluido (no pudo erupcionar por el molar temporal). Afortunadamente el primer pre
Read more
89101112
2020 | Dr. Matías San Martín Hernández | dr@matiassanmartin.com
  • Home
  • Sobre Mi
    • Matías San Martín H.
    • Displasia Ectodermica
    • Publicaciones
    • Prensa
    • Clínica Dental Sonríe
  • Pacientes
    • Procedimientos
    • Casos Clinicos
    • Información Pacientes
    • Testimonios
  • Academia
  • Blog
  • Contacto
    • Reserva Hora Whatsapp
    • Enviar mensaje
Matias San Martin