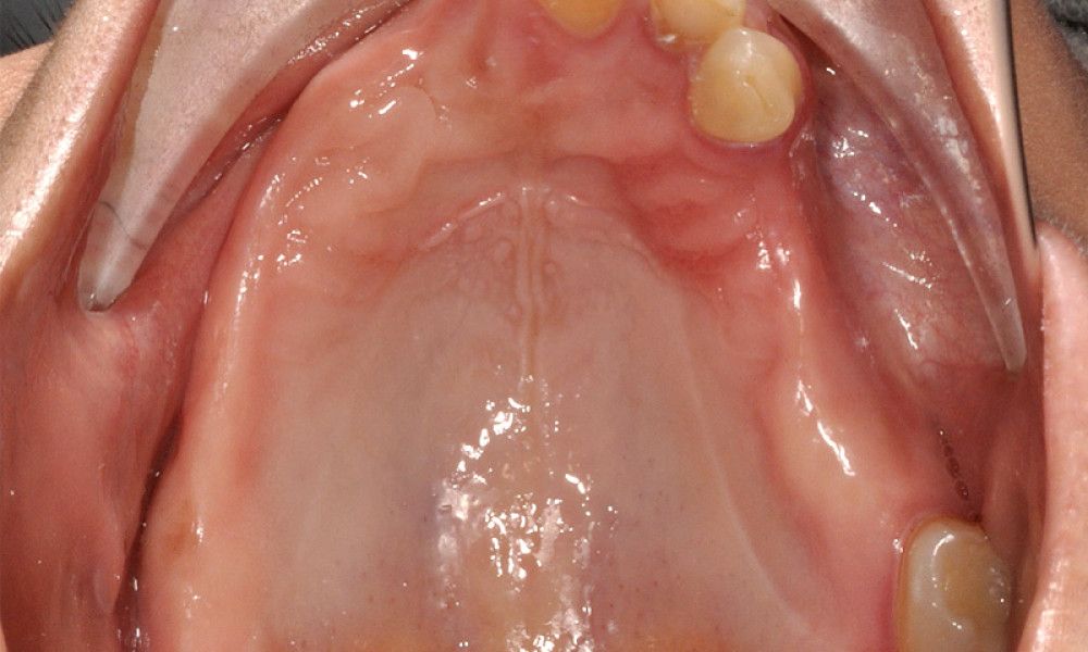
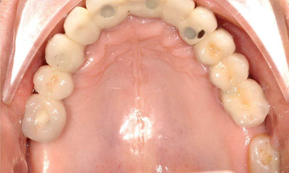
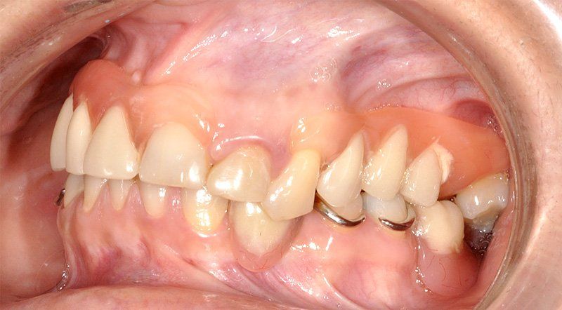
Los Implantes de Carga Inmediata son una solución práctica y definitiva para el desdentado total, es un tratamiento el cual una vez que se opera y se colocan los implantes, por un periodo entre 24 horas a 48 horas, se colocan los dientes en forma provisional, de esta forma el paciente queda con algo fijo mientras el implante se adhiere al hueso. Su principal ventaja radica en la reducción o eliminación del tiempo de espera entre la colocación del implante dental y la colocación de los dientes fijos.
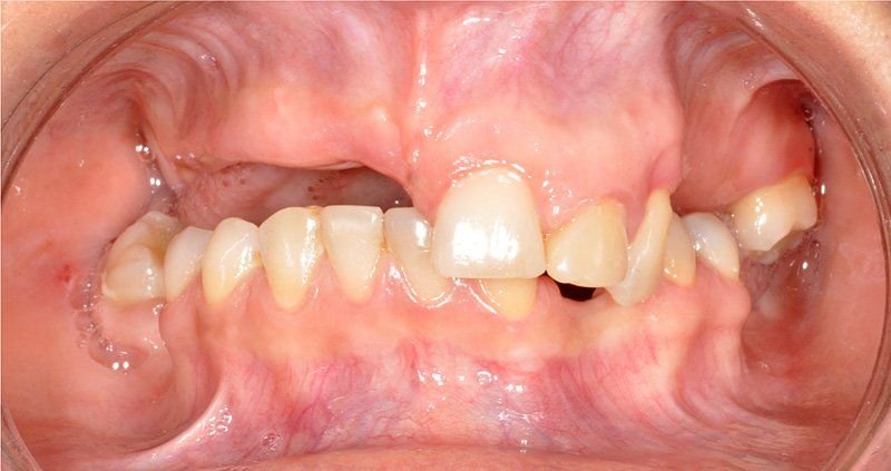
Son recomendables para personas que no están dispuestas a una prótesis removible y quienes quieren acortar los tiempos de espera.
Sus beneficios son que se instalan con mayor tranquilidad para usarlos, no hay que sacárselo todas las noches, la gente queda con una mayor seguridad interna, mejora la autoestima, el humor y las relaciones interpersonales.
¿Por qué la gente debería hacerse el tratamiento en Clínica Dental Sonríe?
Porque se hace en pabellones certificados por la Universidad de Chile. Son dependencias hechas única y exclusivamente para hacer intervención en sitios estériles. También se hace más cómodo y se pasa rápido el periodo de espera. Del momento en que se insertan los implantes debe transcurrir un período de tiempo de entre 4 a 6 meses si es en mandíbula o maxilar superiores respectivamente para que el tejido óseo cicatrice y logre integrarse a la superficie del implante



