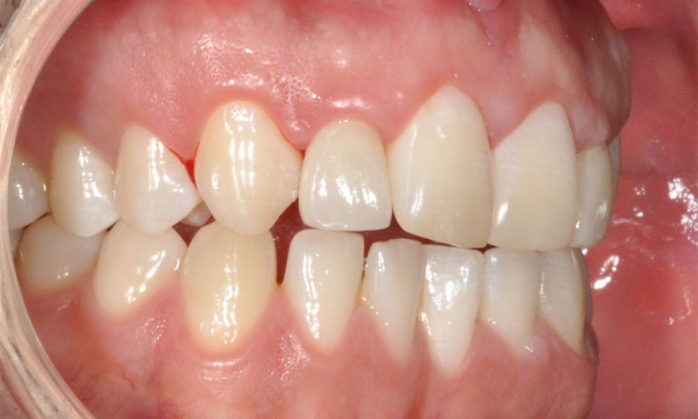
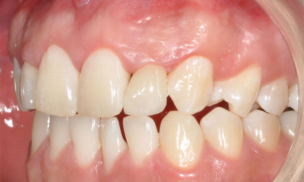
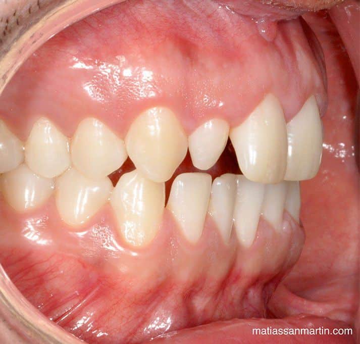
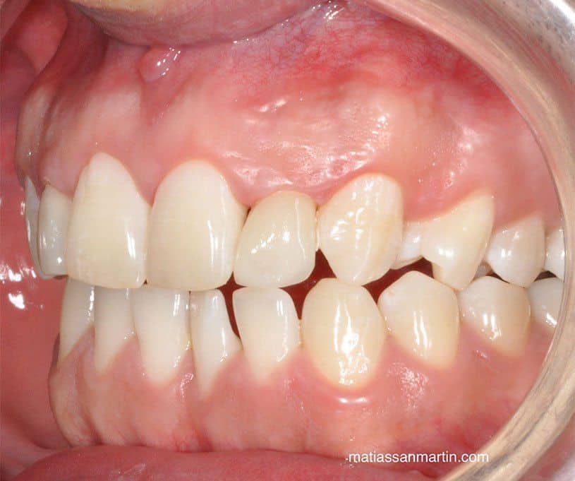
Caso Carillas
Tratamiento protésico que consiste sustituir o reparar el esmalte por una fina lámina de cerámica u otro material que será íntimamente adherido a la superficie dentaria.
Con estos grosores debiéramos ser capaces de ocultar algún defecto de la pieza dentaria o transformar la anatomía. Debemos recordar que es la reposición del esmalte por cerámica o Resina Compuesta (RC).
Desde tiempos remotos se han usado diversos tipos de maquillaje. El Dr. Charles Pincus comenzó usando en Hollywood, como técnica de maquillaje dental, unos frentes estéticos que se colocaban brevemente en la boca. Pero luego con el advenimiento de la RC y los cementos, aumentan las aplicaciones.







