Introducción: La pérdida dentaria trae como consecuencias deformidades óseas causadas por la reabsorción fisiológica del proceso alveolar, generando una atrofia de la cresta alveolar y colapso de los tejidos blandos, provocando problemas estéticos y funcionales y puede contraindicar la instalación de implantes sin la consideración de injertos óseos complementarios.
El siguiente caso propone la utilización de prótesis fija de Zirconia y vestibuloplastía como alternativa al tratamiento con implantes e injerto óseo.
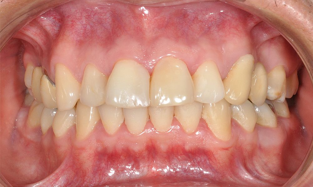
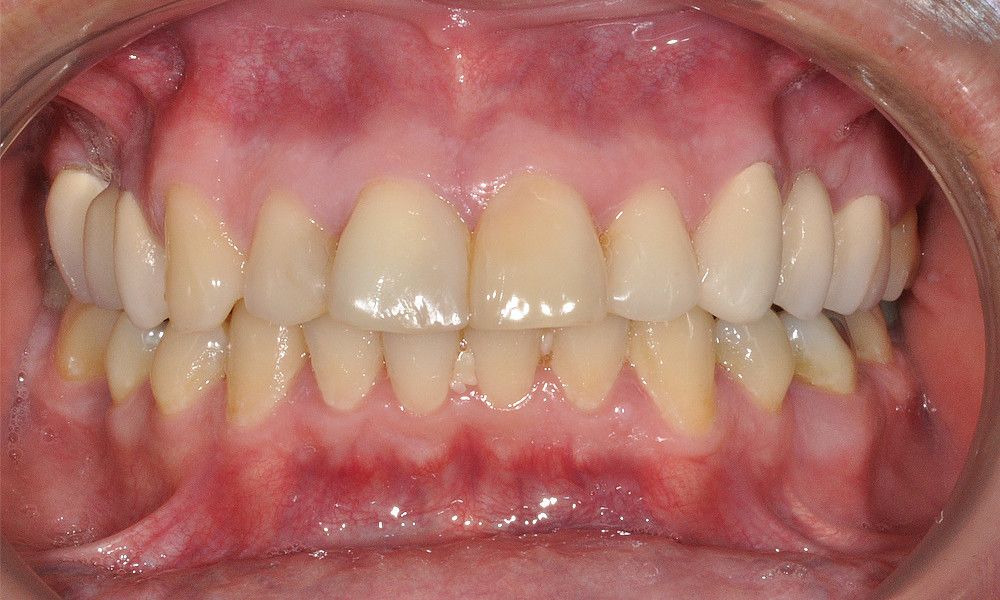
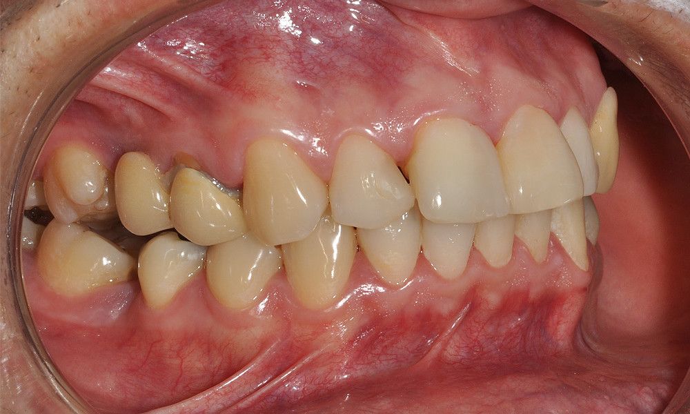
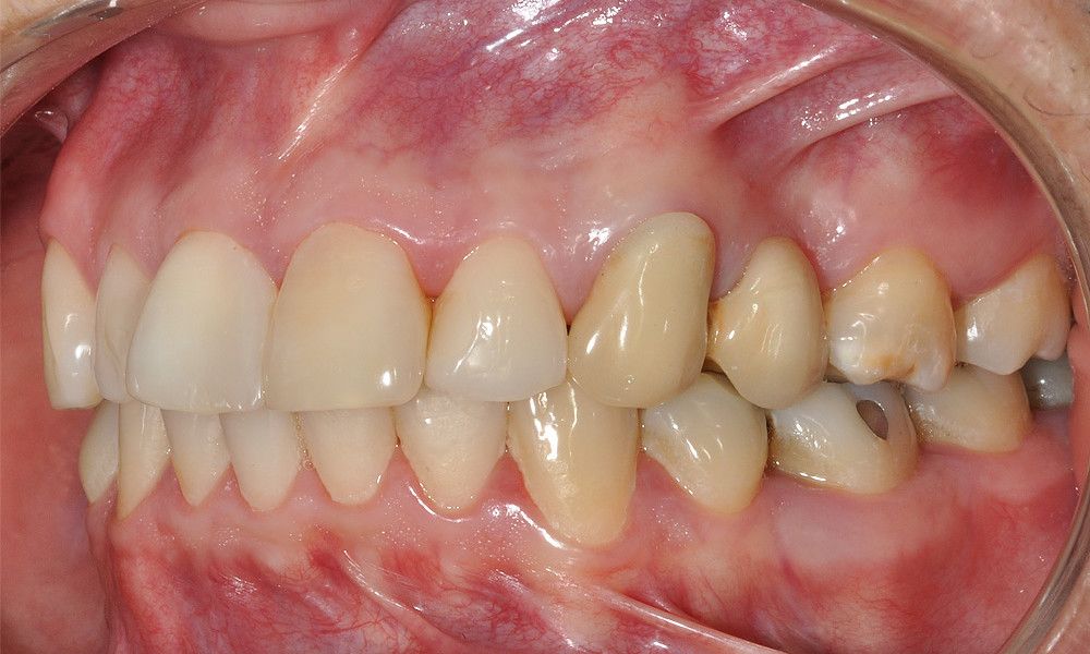
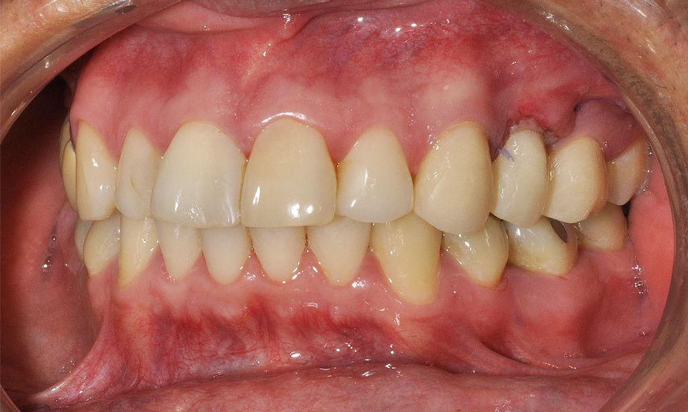
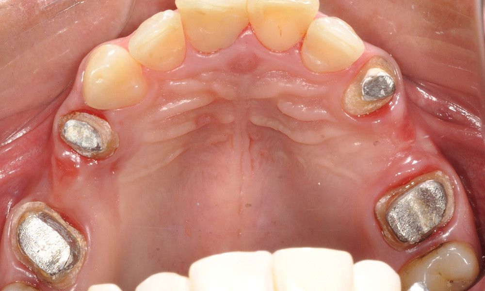
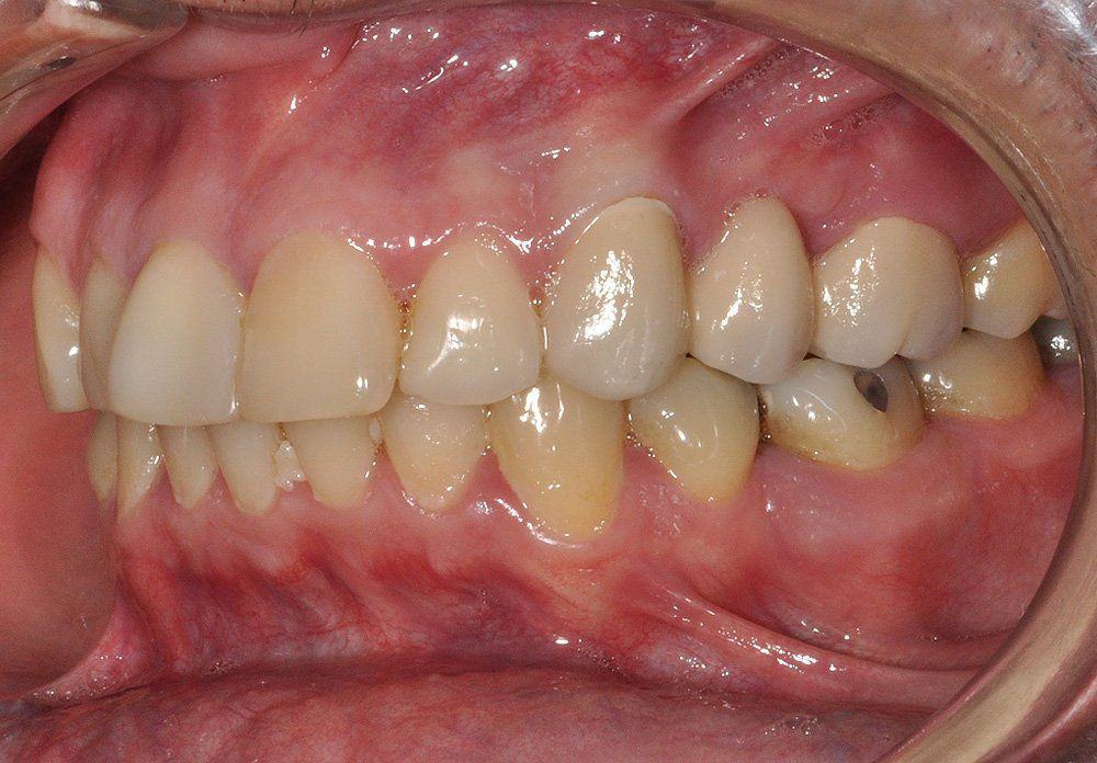
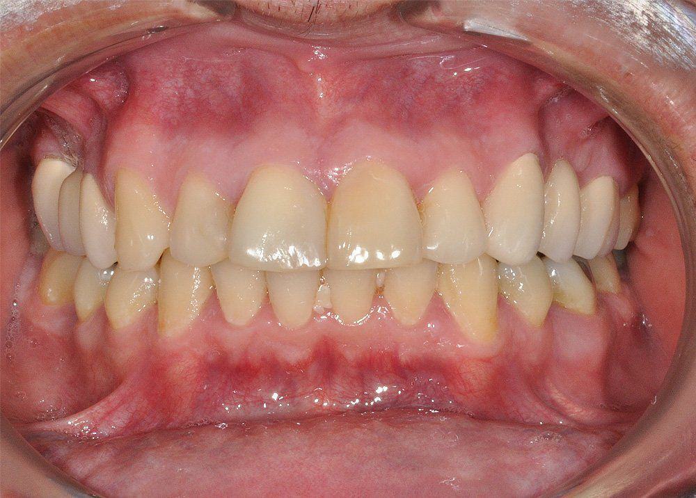
Reporte del Caso: Paciente sexo masculino, 36 años, con diagnóstico de esquizofrenia y trastorno bipolar en tratamiento. Consulta por el recambio de dos prótesis fijas plurales (PFP) de reemplazo de dientes 4 y 13 con pilares en piezas 3, 5, 12 y 14 mediante rehabilitaciones unitarias de los dientes pilares y reemplazo mediante implantes en zonas edéntulas.
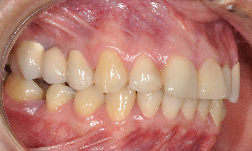
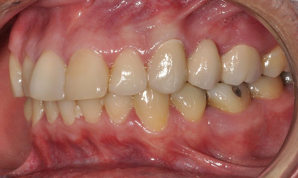
El estudio imagenológico evidencia una pérdida ósea severa en altitud y grosor, situación que complejiza la colocación de un implante. Se analizan alternativas de tratamiento y se opta por una vestibuloplastía mediante autoinjerto conectivo de mucosa palatina que se reposiciona sobre la zona del defecto óseo. Además se realiza retratamiento de ambas PFP, ahora en zirconia, por motivos estéticos y oclusales. Se realizan controles posteriores para evaluar la respuesta gingival a la vestibuloplastía.
Discusión: La vestibuloplastía se indica para el aumento de la cresta alveolar como soporte de prótesis. En este procedimiento dicha técnica sólo resuelve motivos estéticos. Se sugiere la técnica de preservación alveolar para evitar el colapso óseo posterior a extracción dentaria.
Conclusiones: La ausencia de un diente no siempre es indicativo de implante. El tratamiento elegido debe tener las menores complicaciones, el mínimo daño, el máximo beneficio y un costo económico de acuerdo a la realidad del paciente. La PFP de zirconio y la vestibuloplastía son alternativas de tratamiento efectivas para la resolución de defectos óseos por ausencia dentaria en la cavidad oral.











